임플란트 가격 및 비용은 전국 곳곳의 치과마다 천차만별입니다. 또한, 임플란트 시술이 대중화되면서 임플란트 가격과 비용도 점점 저렴해지고 있습니다. 임플란트 가격은 왜 차이가 발생하는 걸까요? 임플란트 가격 정보를 제대로 파악하신 후, 임플란트 시술에 대한 이해와 잘하는 치과를 선택하신다면 충분히 저렴한 가격 및 비용으로 임플란트 시술을 받을 수 있습니다.

임플란트 수명은 반영구적이기 때문에 한 번 시술을 받으실 때 제대로 알아보시는 것이 중요하며,길지 않은 제 글을 끝까지 읽어보신 후 임플란트 가격 비용과 전반적인 내용을 알아가시길 바랍니다.
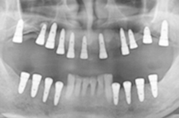
임플란트 가격
서울 및 부산 등 대도시들의 임플란트 가격이 비싼 편이지만, 임플란트는 병원의 크기, 지역, 환자 상태, 임플란트 재료 선택에 따라서 그 가격이 굉장히 차이가 있는 편입니다. 추가적인 가격 정보는 모두닥 등 다양한 임플란트 가격 비교 사이트를 통하여 전국의 임플란트 가격 및 살고 계신 지역 치과의 임플란트 가격을 조회하실 수 있습니다. 혹은, 가까운 곳의 치과를 직접 방문하여 가격 상담을 받는 것도 온라인 가격 비교 사이트 비교와 더불어 추천드립니다.








또한, 치과마다 오픈 기념으로 임플란트 가격 할인을 해주는 곳이나 원데이 임플란트로 반값으로 할인을 해주는 곳도 있습니다. 요즘은 전국의 치과가 포화상태이기 때문에 주변 치과들과 경쟁을 하면서 35~70만 원대에도 시술이 가능한 곳들도 있습니다.
수입 임플란트의 경우 150만 원 이상인 곳도 있지만 국산 임플란트의 기술력이 충분히 뛰어나 합리적인 가격으로 시술을 하시는 것을 추천드립니다.







임플란트 가격 정의
임플란트란 결손 된 치아에 인공치아를 식립하여 자신의 치아처럼 사용할 수 있게 만드는 것입니다. 식사나 의사소통을 하는데 치아는 매우 중요한 역할을 하는 만큼 적기에 시술을 하지 않으시면 일상 속에서 많은 불편함을 초래할 수 있습니다.








특히 어금니가 상실되었을 경우 어금니 임플란트를 통해 본래의 역할을 회복시켜 주는 것이 무엇보다 중요합니다.
국산 / 수입 임플란트 가격 차이
국산 임플란트와 수입 임플란트는 가격 차이가 많이 나기 때문에 많은 분들이 국산과 수입의 차이점에 대해서 궁금해하시는데요. 수입 임플란트 회사들은 오래전부터 개발을 시작했기 때문에 오랫동안의 노하우가 축적된 기술을 가지고 제작이 되고 있습니다.



반면에, 국산 임플란트는 개발 시작 시점은 수입보다 늦지만 현재 거의 똑같은 수준으로 제작이 되고 있기 때문에 특별하게 국산과 수입산이 심하게 차이 난다고 할 수는 없습니다. 즉, 비용을 생각하면은 국산 임플란트가 훨씬 유리할 수가 있습니다.
임플란트 치과 선택방법
임플란트 치과 선택 시 고려해야 할 사항들에 대해서 알려드리겠습니다.
임플란트의 경우 반영구적으로 사용이 가능하기 때문에 한번 시술을 받을 때 치과를 잘 알아보고 선택을 하셔야 합니다. 임플란트 가격이 저렴하다고 무조건 그 병원을 선택하는 것은 위험합니다.






임플란트 시술의 경우 기술과 장비의 힘이 필요한 시술인데요. 치과 홈페이지에 들어가셔서 다양한 치료 방법을 사용하고 있는지, 어떤 장비를 사용하여 시술을 진행하는지 확인을 하시고 치과 선택을 하시는 것을 추천드립니다. 관련 홈페이지 정보를 참고해 보세요.
임플란트 시술을 미룬다면
임플란트 가격 비용이 부담되어 시술을 미루시는 분들이 있는데요. 치아를 상실된 상태로 둔다면 점차적으로 치열이 이동을 하면서 전체적인 치열에 문제가 생길 수 있습니다. 치열이 변화하면서 후에는 전체적인 얼굴 윤곽도 변할 수 있습니다.






한쪽의 치아가 상실되었다면 씹는데 어려움을 느껴 반대쪽을 집중적으로 사용하게 될 수밖에 없습니다. 한쪽 치아에 압력이 계속 가해지게 되면 충치나 잇몸 질환이 빨리 오게 되어 나머지 치아까지 무리가 가게 되는 악순환이 발생됩니다. 임플란트 비용이 부담되어 시술을 미루고 계신다면 비용 거품을 뺀 치과를 선택하셔서 시술을 꼭 받으시길 바랍니다.
임플란트 치과 선택 전 고려할 사항
- 의료진이 최신 기술을 사용하는가?
- 경력이 오래되었는가?
- 과잉진료를 하는 병원인가?
- 추가적인 비용이 늘어나는 병원인가?
- 지역 내 임플란트 가격에서 적정 수준의 가격인가?
- 장비는 오래되지 않았는가?
마지막으로, 임플란트를 하게 되면 수명에 대해서 궁금하실 텐데요. 임플란트는 자연 치아와 유사하기 때문에 관리를 잘하면 반영구적으로 굉장히 오랫동안 쓸 수 있습니다. 하지만, 관리가 잘 안 되거나 흡연 당뇨 등 기저 질환이 있으시다면 잇몸이 쉽게 망가지기 때문에 임플란트를 빼야 하는 경우도 생길 수 있습니다.






이상 임플란트 가격 및 비용, 임플란트 수명, 치과 선택 방법, 임플란트 시기를 미루면 안 되는 이유에 대해서 전반적으로 알아보았습니다. 인터넷에서 찾아볼 수 있는 홈페이지에서 다양한 후기와 치료방법 등을 알아보시고 다시 예전처럼 편안하게 치아를 사용하시길 바랍니다.
댓글